Dentiste - Rungis - Dr CERRINA
Cabinet Dentaire à RUNGIS - Pose d'implants dentaires
Dentiste - Rungis - Dr CERRINA
Cabinet Dentaire à RUNGIS - Pose d'implants dentaires

2 Résidence Médicis
94150 RUNGIS

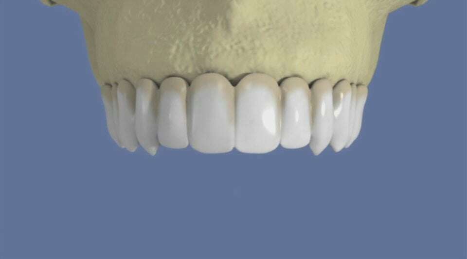
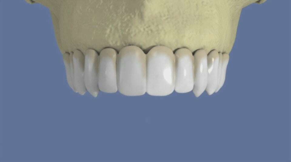
Maxillaire : bridge vissé sans fausse gencive


video-play-icon

Articles similaires

Création par Webdentiste

Connexion